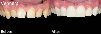
Patient Resource Center and Smile Gallery
Browse our gallery below to see the services we offer in addition to the way we've transformed previous patients' smiles. Rest easy knowing that the health and beauty of your smile is in good hands. Call Cross Creek Family Dentistry today and see your smile transformation.






